Beyin Tümörleri
Beyin tümörleri, kafatası içindeki hücrelerin kontrolsüz bir şekilde çoğalarak bir kitle oluşturmasıdır. Beyin tümörleri, doğrudan beyin dokusundan kaynaklanabileceği gibi (birincil), vücudun başka bir yerindeki kanserin beyne sıçramasıyla (metastatik) de oluşabilir.
Bir doktor sitesi için hazırlanan, hastaları ve yakınlarını en doğru şekilde yönlendirmeyi amaçlayan bilgilendirme rehberi aşağıdadır:
Beyin Tümörleri: Belirtiler, Tanı ve Tedavi Süreçleri
Beyin, vücudun tüm fonksiyonlarını yöneten ana kumanda merkezidir. Bu nedenle beyinde oluşan bir tümör; hareket, konuşma, görme ve kişilik gibi birçok fonksiyonu etkileyebilir. Beyin tümörlerinin hepsi kanser değildir; “iyi huylu” (selim) tümörler de bulundukları yere göre ciddi etkiler yaratabilir ve tedavi gerektirebilir.
Beyin Tümörlerinin Belirtileri Nelerdir?
Belirtiler, tümörün beynin hangi bölgesinde olduğuna ve ne kadar hızlı büyüdüğüne bağlı olarak değişir. En yaygın belirtiler şunlardır:
Yeni Başlayan Baş Ağrıları: Özellikle sabahları daha şiddetli olan, zamanla sıklığı ve şiddeti artan, ağrı kesicilere yanıt vermeyen baş ağrıları.
Nöbetler (Epilepsi): Daha önce nöbet geçmişi olmayan bir yetişkinde aniden ortaya çıkan kasılmalar veya bayılmalar.
Kişilik ve Davranış Değişiklikleri: Eskiden olmayan sinirlilik hali, sosyal çekilme veya kafa karışıklığı.
Duyu ve Hareket Kayıpları: Kollar veya bacaklarda uyuşma, güç kaybı, dengesizlik.
Görme ve Konuşma Bozuklukları: Çift görme, görme alanında kayıplar veya kelimeleri bulmakta zorlanma.
İyi Huylu ve Kötü Huylu Tümör Farkı
Beyin tümörleri genellikle dört dereceye (Grade) ayrılarak sınıflandırılır:
Grade 1 ve 2 (Düşük Dereceli): Genellikle iyi huylu olarak kabul edilirler. Yavaş büyürler ancak zamanla yüksek dereceye dönüşme riskleri olabilir.
Grade 3 ve 4 (Yüksek Dereceli): Kötü huylu (habis) tümörlerdir. Hızla büyürler ve çevredeki sağlıklı beyin dokusuna yayılma eğilimi gösterirler. Glioblastoma bu grubun en bilinen örneğidir.
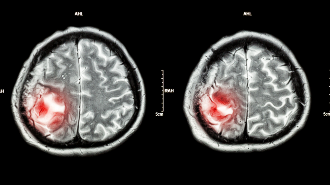
Tanı Yöntemleri
Modern nöroradyoloji, tümörün yerini ve yapısını milimetrik hassasiyetle belirleyebilmektedir:
MR (Manyetik Rezonans): Beyin dokusunu en net gösteren yöntemdir. Genellikle ilaçlı (kontrastlı) MR çekilerek tümörün damarlanma yapısı incelenir.
Fonksiyonel MR ve Traktografi: Tümörün konuşma ve hareket merkezleriyle olan ilişkisini haritalayarak cerrahi planlamaya yardımcı olur.
Biyopsi: Tümörün kesin türünü ve genetik özelliklerini belirlemek için küçük bir doku örneği alınmasıdır.
Güncel Tedavi Yöntemleri
Beyin tümörlerinde tedavi multidisipliner bir ekip (beyin cerrahı, radyasyon onkoloğu, tıbbi onkolog) tarafından planlanır:
1. Mikrocerrahi (Nöronavigasyon Eşliğinde)
Günümüzde cerrahlar, GPS sistemine benzeyen “Nöronavigasyon” teknolojisi ile tümörün sınırlarını tam olarak belirleyerek sağlıklı dokuya minimum zarar vererek ameliyat yapabilmektedir. Ayrıca ameliyat sırasında yapılan Nöromonitörizasyon sayesinde, hastanın felç kalma riski minimize edilir.
2. Radyoterapi ve Radyocerrahi (Gamma Knife / CyberKnife)
Bazı tümörler için bıçaksız cerrahi olarak bilinen Gamma Knife gibi yöntemlerle, yüksek dozda radyasyon tek seansta tam tümör üzerine odaklanarak tedavi sağlanabilir.
3. Kemoterapi ve Akıllı İlaçlar
Beyin dokusunu koruyan “kan-beyin bariyerini” aşabilen özel kemoterapi ilaçları kullanılır. Son yıllarda, tümörün genetik profiline göre belirlenen hedefe yönelik tedaviler de sürece dahil edilmektedir.
4. Tumor Treating Fields (TTFields)
Kafaya takılan özel elektrotlar aracılığıyla düşük yoğunluklu elektrik alanları oluşturarak kanser hücrelerinin bölünmesini engelleyen yeni nesil bir tedavi yöntemidir.
Sonuç
Beyin tümörü tanısı, hasta ve ailesi için duygusal olarak zorlayıcı olabilir. Ancak gelişen cerrahi teknolojiler ve moleküler onkolojideki yenilikler, bugün birçok beyin tümöründe başarılı sonuçlar almamızı ve yaşam kalitesini korumamızı sağlamaktadır.